
Visium HD 開啟了空間探索的新時代,它通過單細胞水平的分辨率增強了成熟的全轉錄組空間分析,實現了連續的組織覆蓋,并通過基于探針的創新化學方法和基于 Visium CytAssist 的工作流程帶來了一流的數據。
無偏好性的單細胞分辨率
此次發布的 VisiumHD 芯片摒棄了以大直徑 55um 的 spot 設計,而是采用 2 *2um 的正方形當做基礎分析單位,芯片中間沒有空隙。真正的能夠做到無間隙,無偏好性的單細胞分辨率水平的空間轉錄組。目前 HD 芯片發布捕獲框大小是 6.5*6.5mm 的規格,可檢測物種是人和小鼠,兼容石蠟樣本。

▲Visium HD 空間基因表達玻片包含兩個 6.5 x 6.5 mm 的捕獲區

▲Visium HD 空間基因表達玻片的捕獲區含有約 1100 萬個 2 x 2 μm 連續區塊,實現單細胞水平的空間分辨率。
Visium ![]() | Visium HD ![]() |
搭載 Visium CytAssist 獲得最好的數據
Visium HD 將強大的全轉錄組空間基因表達與單細胞尺度分辨率結合起來,來發現每一微米組織中獨特的生物學特性。同時啟用 CytAssist 儀器,讓樣本在簡單的運行工作流中獲得最好的數據。

▲全轉錄組、單細胞分辨率、連續覆蓋

▲通過 Visium CytAssist 實現精準的轉錄本定位

▲通過高分辨率的空間轉錄組學來增強 H & E 或 IF 成像后的樣本。

▲從 FFPE 組織塊或載玻片上的組織切片中獲得強大的數據


▲兼容 H & E 染色以及 IF 染色 Visium HD 空間基因表達兼容 H &E 染色以及 IF 染色。
(可在同一組織切片上進行高分辨率空間轉錄組學數據分析)
Visium HD 芯片與基礎芯片技術比較
| 芯片型號 | Visium | Visium CytAssist | Visium HD |
| 分辨率 | 直徑 55um | 直徑 55um | 2*2um, 全組織覆蓋 |
| 檢測范圍 | mRNA | mRNA | mRNA |
| 物種 | 全物種 | 人 / 小鼠 | 人 / 小鼠 |
| 組織兼容性 | FF | FF/FFPE | FFPE(后面應該會加入 FF) |
| 捕獲原理 | polyA 尾捕獲 | 探針法捕獲 | 探針法捕獲 |
| 芯片大小 | 6.5 mm× 6.5 mm | 6.5 mm × 6.5 mm 11 mm × 11 mm | 6.5 mm× 6.5 mm |

每微米都蘊藏著無限的探索潛力

這份 FFPE 人類乳腺導管原位癌樣本的 Visium HD 分析構建了 一張無偏的全轉錄組圖譜,并鑒定出腫瘤微環境中的主要 細胞類型和狀態。
H&E 染色結果 ![]() | Visium HD 基因表達數據 ![]() |
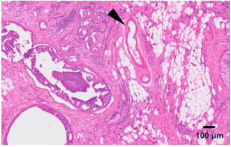
▲自信地繪制血管等小型生物結構中細胞類型的空間排布。
| 帶有癌癥區域(黃色)和免疫富集區域 (青色)的病理學注釋的 H & E 染色結果 ![]() | Visium HD 基因表達數據 ![]() |
▲定位組織駐留細胞群,包括免疫細胞或癌細胞,以發現它們的相互作用以及對疾病或治療應答的貢獻。
直觀的數據探索加速科學發現

Visium HD 數據是以 2 μm 以及多種拼接尺寸輸出的。上圖中的數據是在 8 μm 下可視化的。
- 利用 Space Ranger 的一組分析流程來處理 Visium HD 空間 基因表達數據以及明場和熒光顯微鏡圖像。
- 利用 Loupe Browser 對數據進行可視化和探索。
- 利用不斷擴大的第三方開發的 R 和 Python 工具生態系統繼續對 Visium HD 數據進行分析。
數據分析:Space Ranger & Loupe Browser
Visium HD 具備一體化的數據分析模式,使用 Space Ranger,可自動將空間基因表達信息疊加在組織圖像上,將原始 fastQ 數據經過質控,比對,定量等步驟后轉為 gene 表達矩陣,供分析人員進行二級分析。還可以使用 Loupe Browser 進一步可視化和探索 Visium HD 的數據,同時兼容 R 和 Python 開發的生態系統繼續分析 Visium HD 數據。







